Por: Sonia Helena Contreras Ortíz, Ingeniera Electrónica con Ph.D en ingeniería biomédica.
El procesamiento de imágenes médicas se refiere al uso de algoritmos computacionales para mejorar la calidad de las imágenes o para extraer información que puede ser de utilidad para aplicaciones médicas como el diagnóstico de enfermedades o la realización de ciertos procedimientos.
Bases del procesamiento de imágenes médicas
Los sistemas de imágenes médicas tienen limitaciones debidas a su tecnología, por lo cual, las imágenes obtenidas pueden aparecer borrosas o con ruido, o las estructuras anatómicas pueden mostrarse distorsionadas. Por ejemplo, si observamos la ecografía de un bebé en gestación, vamos a notar un ruido que se ve como puntos blancos y negros, y la anatomía del bebé no se aprecia claramente. Se requiere de un experto para interpretar la imagen.
Los algoritmos de procesamiento digital de imágenes médicas pueden hacer que la visualización de estas sea más clara, de tal forma que el médico pueda apreciar más detalles y tomar mediciones más precisas. También permiten extraer información relacionada con la anatomía o el funcionamiento de los órganos y tejidos, que puede ser usada para apoyar el diagnóstico de enfermedades o para la realización de procedimientos médicos guiados por imágenes, como biopsias y cirugías.

Ecografía de un feto
Algoritmos de procesamiento de imágenes
El tratamiento de imágenes médicas ayuda a reducir componentes de las imágenes que no son relevantes y que pueden hacer más difícil su interpretación, y al mismo tiempo resaltar información de utilidad para el médico. Se fundamenta en el uso de técnicas matemáticas, que incluyen conceptos de álgebra lineal, procesamiento de señales e inteligencia artificial, para realizar operaciones sobre las imágenes, en forma similar a como hacemos con las fotografías tomadas con el celular cuando aplicamos filtros de suavizado o de realce. En el caso de las imágenes médicas, es fundamental que se conserve la información de utilidad diagnóstica sin distorsionarla.
Los sistemas de imágenes médicas modernos cuentan con algoritmos de procesamiento de imágenes, que en algunos casos pueden configurarse en el mismo sistema o en el software para captura de las imágenes. Adicionalmente, una vez adquiridas las imágenes, pueden procesarse empleando librerías especializadas en lenguajes como Matlab o Python.
Te puede interesar: Mejora de la imagen de ultrasonido
Tambien te puede interesar: Realizar una especialización en gerencia de servicios de salud
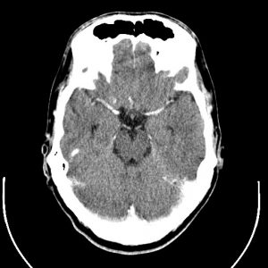
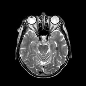
Para cada técnica de imágenes médicas, hay algoritmos especializados, ya que las características de las imágenes son diferentes, y su interpretación también. Por ejemplo, las imágenes de tomografía axial computarizada (TAC) pueden parecerse a las imágenes de resonancia magnética, sin embargo, la información que contienen es muy diferente, como se muestra a continuación.
Imágenes de TAC: se generan empleando rayos x y las formas e intensidades que se observan están relacionadas con la morfología y propiedades físicas de las estructuras anatómicas.
Imágenes de Resonancia: se crean a partir de campos magnéticos y contienen información relacionada con la actividad metabólica y el funcionamiento de los órganos y tejidos.

Izquierda: imagen de resonancia magnética del cerebro. Derecha, TAC del cerebro
Importancia del tratamiento de imágenes médicas
El procesamiento de imágenes médicas es un campo de gran valor para la medicina y con alto potencial de impactar la calidad de los servicios de salud.
En la UTB estamos trabajando varios proyectos de investigación en el área de procesamiento de imágenes médicas. Uno de ellos busca desarrollar un software para apoyar el diagnóstico de neumonía a partir del análisis de imágenes de ecografía de pulmón. Este proyecto podría apoyar el diagnóstico clínico de esta patología en pacientes que no deben exponerse a radiación ionizante, como niños pequeños y mujeres en estado de embarazo. También estamos desarrollando una técnica de imágenes multimodal que combina ultrasonido 3D y reconstrucción 3D con luz estructurada con potencial para ser utilizada como guía en la realización de intervenciones quirúrgicas.